Skip to content
Home
About
Meet Dr. DiCostanzo
Meet the Team
Office Tour
Patient Information
Why Choose Our Practice?
Dental Exams and Check-Ups
Insurance
Infection Control
Advanced Technology
Dental Anxiety and Phobia
Home Instructions
New Patients
Before And After
Dental FAQs
Financial Information
Patient Forms
Specials
Your First Visit
Dental Services
Cosmetic Dentistry
Dental Bonding
Smile Makeovers
Teeth Whitening Trays
Teeth Whitening With Opalescence Go
Veneers
Dental Implants
Endodontic Treatment
Apicoectomy
Cracked Teeth
Post & Core
Pulp Regeneration
Root Canal Therapy
Root Canal Retreatment
Traumatic Injuries
Vital Pulp Therapy / Pulpotomy
General Dentistry
Dental Bridge
Dental Cleanings
Dental Crowns
Dental Crowns with Planmeca Scan
Dental Sealants
Digital Impressions
Enamel Shaping
Fillings
Fluoride Treatments
Lingual Frenectomy
Mercury Safe and Mercury Free
Sleep Apnea
Snoring
Tooth-Colored Fillings
Oral Surgery
Dental Implants
Tooth Extractions
Orthodontic Treatment
ClearCorrect Aligners
Emergency Care
Pediatric Dentistry
Dental Cleanings
Pit And Fissure Sealants
Periodontal Care
Arestin
Gingivectomy
Periodontal Cleaning
Scaling and Root Planing
Preventative Dentistry
Custom Mouthguards
Occlusal Night Guards
Oral Cancer Screenings
Silver Diamine Fluoride
Prosthodontics
Flippers and Removable Partial Dentures
Full and Partial Dentures
Hybrid Prosthesis
Implant Restoration
Implant-Retained Dentures
Implant-Retained Partials
Technology
Cone Beam 3D Imaging
DEXIS CariVu™
Diagnodent Pen
Digital X-Rays
Intraoral Camera Technology
Laser Therapy
Reviews
Blog
Contact
Request an Appointment
Home
About
Meet Dr. DiCostanzo
Meet the Team
Office Tour
Patient Information
Why Choose Our Practice?
Dental Exams and Check-Ups
Insurance
Infection Control
Advanced Technology
Dental Anxiety and Phobia
Home Instructions
New Patients
Before And After
Dental FAQs
Financial Information
Patient Forms
Specials
Your First Visit
Dental Services
Cosmetic Dentistry
Dental Bonding
Smile Makeovers
Teeth Whitening Trays
Teeth Whitening With Opalescence Go
Veneers
Dental Implants
Endodontic Treatment
Apicoectomy
Cracked Teeth
Post & Core
Pulp Regeneration
Root Canal Therapy
Root Canal Retreatment
Traumatic Injuries
Vital Pulp Therapy / Pulpotomy
General Dentistry
Dental Bridge
Dental Cleanings
Dental Crowns
Dental Crowns with Planmeca Scan
Dental Sealants
Digital Impressions
Enamel Shaping
Fillings
Fluoride Treatments
Lingual Frenectomy
Mercury Safe and Mercury Free
Sleep Apnea
Snoring
Tooth-Colored Fillings
Oral Surgery
Dental Implants
Tooth Extractions
Orthodontic Treatment
ClearCorrect Aligners
Emergency Care
Pediatric Dentistry
Dental Cleanings
Pit And Fissure Sealants
Periodontal Care
Arestin
Gingivectomy
Periodontal Cleaning
Scaling and Root Planing
Preventative Dentistry
Custom Mouthguards
Occlusal Night Guards
Oral Cancer Screenings
Silver Diamine Fluoride
Prosthodontics
Flippers and Removable Partial Dentures
Full and Partial Dentures
Hybrid Prosthesis
Implant Restoration
Implant-Retained Dentures
Implant-Retained Partials
Technology
Cone Beam 3D Imaging
DEXIS CariVu™
Diagnodent Pen
Digital X-Rays
Intraoral Camera Technology
Laser Therapy
Reviews
Blog
Contact
Request an Appointment
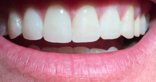
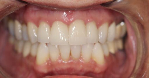
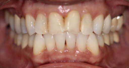
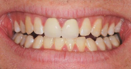
Before And After
Call Today!
(219) 865-3303
Before And After
Dental FAQs
Financial Information
Patient Forms
Specials
Your First Visit
Hamburger Toggle Menu